NOTÍCIAS Novo website da clínica santa bárbara !

Casos Clínicos

Cada caso clínico é uma história única de superação e transformação. Na nossa jornada, celebramos os sucessos dos pacientes, pois a felicidade deles é o testemunho da excelência e dedicação que aplicamos em cada situação.

João Luís Cracel Lopes

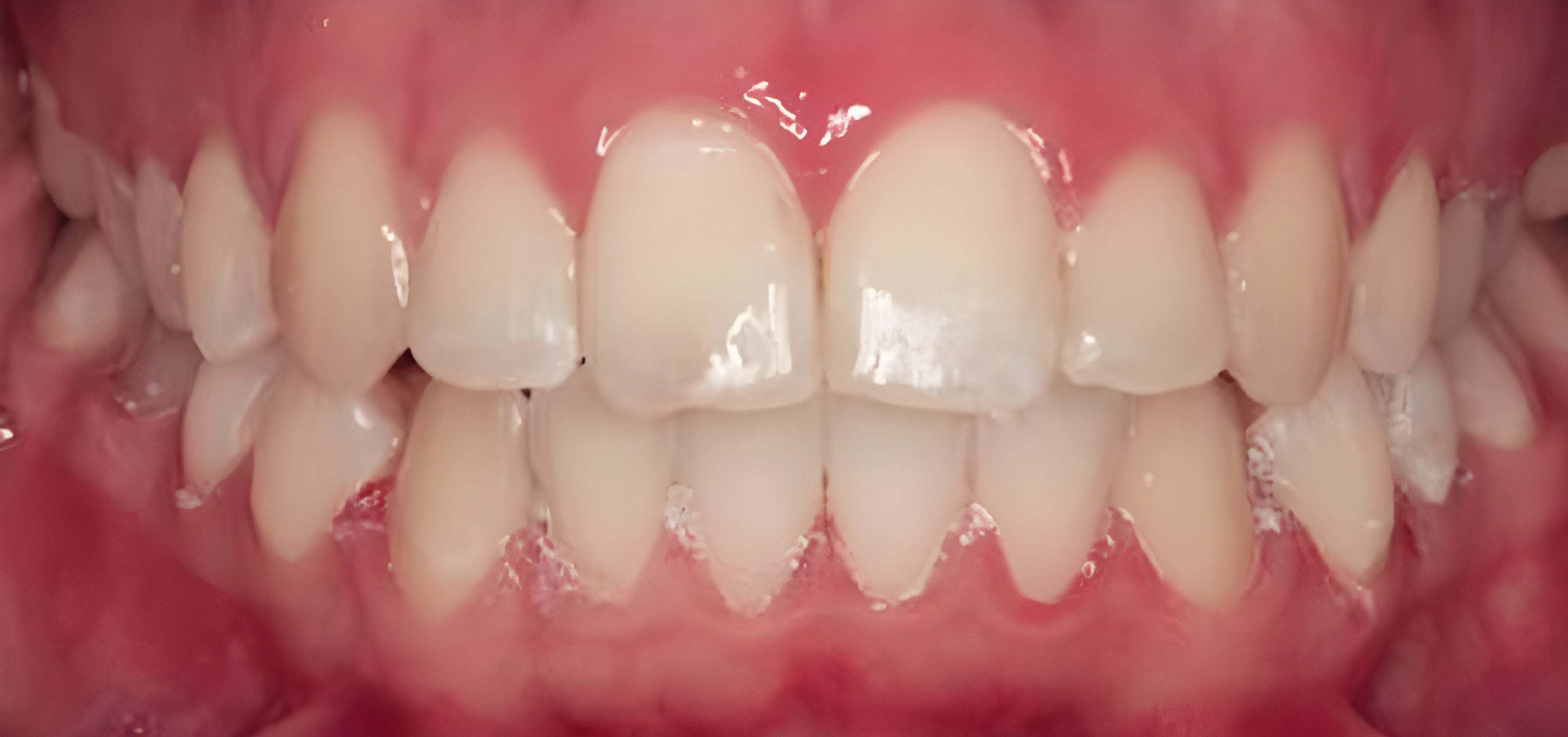
CASO DE REABILITAÇÃO ORAL – PROSTODONTIA

Antes do tratamento A Prostodontia Finalizado tratamento A Prostodontia

Reabilitação dos dentes incisivos inferiores com recurso a coroas em cerâmica.

Médico: Dr. João Gil Mano

TRATAMENTOS ORTODÔNTICOS – ORTODONTIA

Antes do tratamento- Ortodontia Finalizado tratamento- Ortodontia

Caso clínico: agenesia de laterais

Médica: Dra. Raquel Campos

Antes do tratamento, caninos etópicos - Ortodontia Finalizado tratamento, caninos etópicos - Ortodontia

Caso clínico: caninos etópicos

Médica: Dra. Raquel Campos

Antes do tratamento, caninos etópicos - Ortodontia Finalizado tratamento, caninos etópicos - Ortodontia

Caso clínico: apinhamento dentário sem extrações

Médica: Dra. Raquel Campos

CASO DE REABILITAÇÃO ORAL – PROSTODONTIA

Antes, Reabilitação no maxilar superior Finalizado, Reabilitação no maxilar superior
Antes, Reabilitação no maxilar superior Finalizado, Reabilitação no maxilar superior
Antes, Reabilitação no maxilar superior Finalizado, Reabilitação no maxilar superior

Reabilitação no maxilar superior

Médico: Dr. André Afonso