Na nossa área dedicada à periodontologia, oferecemos tratamentos abrangentes para as estruturas fundamentais dos seus dentes, incluindo a gengiva e o osso alveolar de suporte. Estes procedimentos envolvem a descontaminação meticulosa das raízes, removendo tanto a placa bacteriana mineralizada (tártaro) como a não mineralizada.
Além de abordar condições comuns como gengivites e periodontites, a periodontologia na nossa clínica também trata implicações estéticas, corrigindo posicionamentos gengivais incorretos.
Tratamento
Prevenção
Compromisso
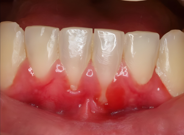
Inflamação e sangramento gengival, frequentemente causados por bactérias, são tratados com eficácia. Em situações crónicas, a persistência da inflamação pode levar à destruição óssea.
Realizamos um acompanhamento minucioso da saúde gengival, pois a periodontite, se não tratada, pode contribuir significativamente para perdas dentárias.

Cédula profissional nº 05393 Periodontologia


ANTES / DEPOIS

Para mais informações sobre o Livro de Reclamações Online pode consultar o decreto-lei nº74/2017 ou visitar o portal do Livro de Reclamações.